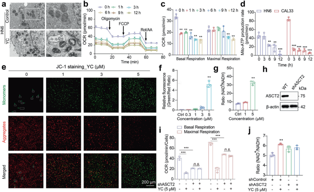
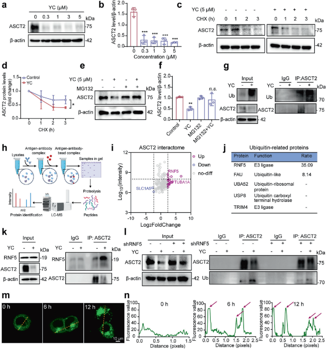
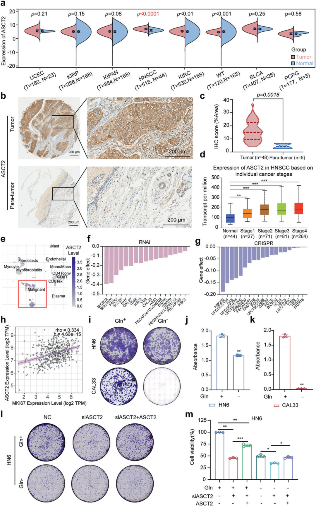
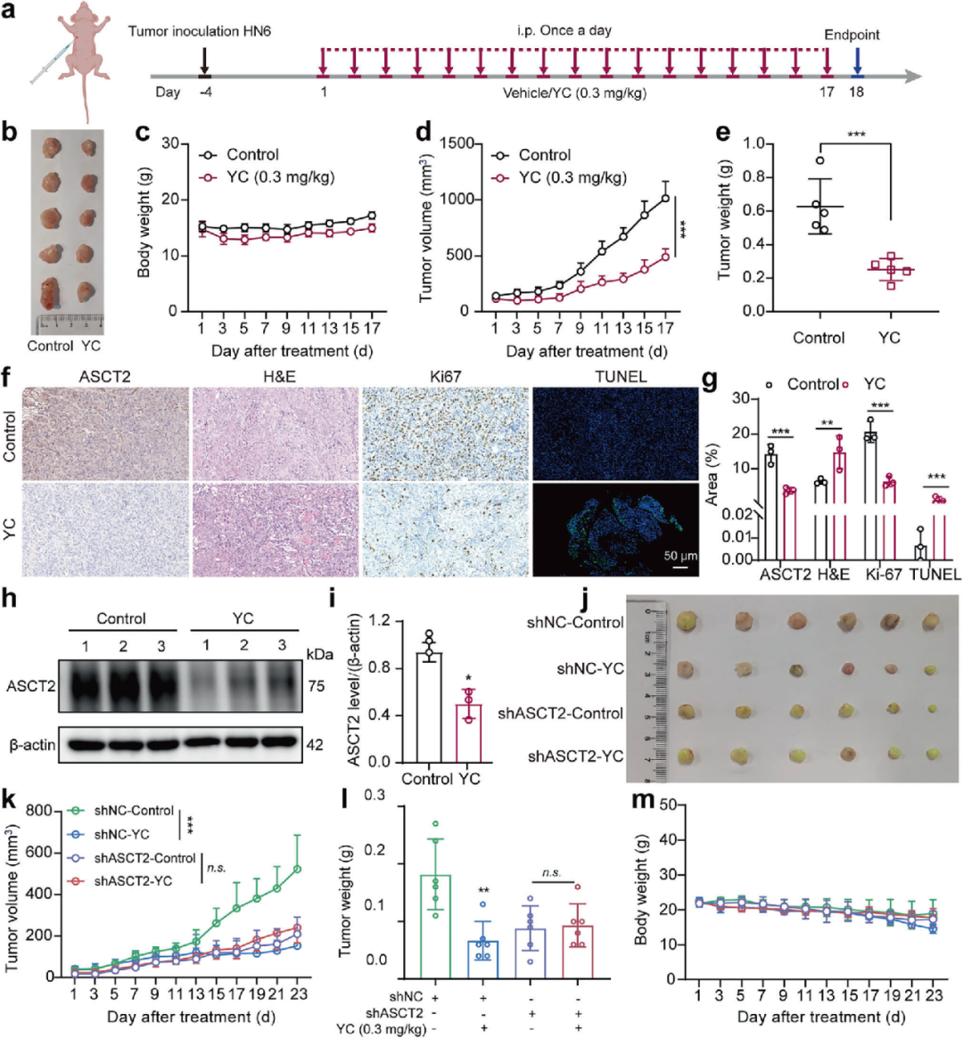
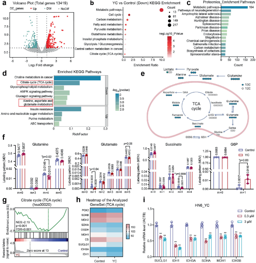
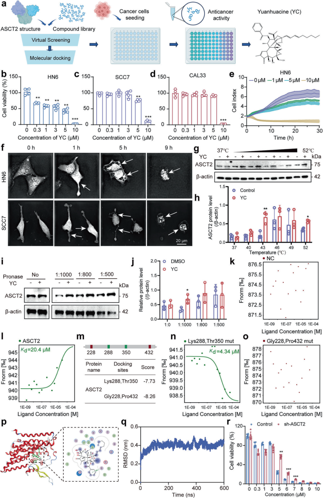
• ✦ ✦ • 头颈鳞状细胞癌(HNSCC)进展快、转移率高且治疗耐药性显著,超过65%的患者确诊时已处于晚期,五年生存率低于4%,亟需新的治疗策略。代谢重编程是癌症的重要特征,HNSCC高度依赖谷氨酰胺代谢,其作为条件必需氨基酸,通过SLC转运体进入细胞,支持肿瘤生长。其中,丙氨酸-丝氨酸-半胱氨酸转运体2(ASCT2)作为关键谷氨酰胺转运体,在HNSCC中过表达且与不良预后相关,但其靶向治疗面临药物缺乏和特异性不足等挑战,因此,开发安全有效的ASCT2靶向药物对HNSCC治疗具有重要意义。 2025年5月15日,Acta Pharmacologica Sinica在线发表了题为“Yuanhuacine suppresses head and neck cancer growth by promoting ASCT2 degradation and inhibiting glutamine uptake”的论文,文章通过多组学和体内外实验,系统阐明了 芫花酯甲(YC)通过降解 ASCT2、阻断谷氨酰胺代谢和损伤线粒体功能抑制 HNSCC 的机制,为头颈癌的精准代谢治疗提供了新的候选化合物和理论依据。 及因生物为该研究提供非靶向代谢组学 • ✦ ✦ • 1、ASCT2过表达与HNSCC患者预后不良相关 为了评估ASCT2在HNSCC中的临床意义,研究首先使用癌症基因组图谱(TCGA)数据库进行了生物信息学分析。与正常组织相比,ASCT2在HNSCC肿瘤样本中的表达显著升高;临床HNSCC患者活检标本的组织芯片染色进一步证实了这一发现,肿瘤组织中ASCT2蛋白水平高于邻近非肿瘤组织;表明ASCT2表达升高与疾病进展相关。 单细胞RNA测序分析显示,与其他细胞类型相比,ASCT2主要在恶性上皮细胞中表达。为了探索ASCT2在HNSCC中的功能作用,利用DepMap数据集的siRNA和CRISPR数据,发现ASCT2敲低抑制多种HNSCC细胞系的生长,包括CAL33和CAL27细胞,强调了ASCT2在肿瘤细胞增殖中的重要作用。此外,在临床HNSCC样本中,ASCT2表达与细胞增殖标志物Ki-67呈正相关。为了验证这一点,使用慢病毒shRNA生成了稳定的asct2敲低HN6细胞,并用siRNA-2113和shASCT2验证了敲低效率,谷氨酰胺剥夺显著降低了HN6和CAL33细胞的克隆形成,ASCT2敲低显著损害了HN6细胞的克隆生长,而ASCT2的重新表达恢复了这一作用,证实了其在支持谷氨酰胺依赖性增殖中的作用。此外,将ASCT2敲低与谷氨酰胺剥夺相结合,对细胞增殖的抑制作用增强,强调了ASCT2表达与谷氨酰胺可用性之间的相互作用。 2、芫花酯甲被鉴定为靶向ASCT2的小分子抑制剂 采用虚拟筛选和细胞毒性试验来鉴定特异性靶向ASCT2的候选化合物,结果显示在这些化合物中,YC表现出最有效的抗肿瘤作用,对HN6、CAL33和SCC7细胞的半最大抑制浓度(IC50)分别为1.43µM、6.62µM和6.46µM。为了进一步评估YC的影响,利用实时细胞分析监测处理30h后HN6细胞的生长曲线,结果表明YC抑制细胞增殖呈时间和剂量依赖性。使用Nanolive Label-Free 3D成像技术,观察到YC处理后细胞快速萎缩、染色质浓缩和质膜破裂等形态学特征与凋亡一致。CETSA结果表明,YC在43°C和52°C时稳定ASCT2,DARTS实验表明,在蛋白水解过程中,YC稳定了ASCT2,表明YC与ASCT2直接结合。微尺度热泳实验进一步支持了这一发现,表明YC直接与ASCT2结合。 分子对接分析预测YC与ASCT2在脯氨酸(Pro) 432和甘氨酸(Gly) 228位点通过两个氢键结合,与苏氨酸(Thr) 350和赖氨酸(Lys) 288位点结合。MST之后的定点突变证实Gly228和Pro432是结合的关键残基,因为这些位点的突变显著损害了YC的亲和力。此外,对YC/ASCT2复合物进行了600 ns的分子动力学模拟,显示出稳定的构象;功能上,ASCT2敲低显著减轻了YC在HN6细胞中的抑制作用。综上证明ASCT2是YC的直接靶点。 3、YC通过RNF5募集诱导ASCT2降解 YC 处理 HN6 细胞后,ASCT2 蛋白水平呈剂量和时间依赖性降低,该降解过程可被蛋白酶体抑制剂 MG132 逆转,说明 ASCT2 通过泛素 - 蛋白酶体途径降解;Co-IP 实验显示 YC 促进 ASCT2 的泛素化修饰;通过 Co-IP 结合 LC-MS/MS 分析,发现 RNF5 是与 ASCT2 相互作用的关键 E3 泛素连接酶,进一步实验证实 YC 增强 ASCT2 与 RNF5 的结合,而敲低 RNF5 显著抑制 YC 诱导的 ASCT2 降解及泛素化水平;SPPIER 实验可视化显示 YC 促进 ASCT2-YC-RNF5 三元复合物的形成,综上表明 YC 通过招募 RNF5 介导 ASCT2 的泛素化降解,进而发挥抗肿瘤作用。 4、ASCT2降解诱导HNSCC中谷氨酰胺代谢危机 转录组测序显示,YC(5 μM)处理 HN6 细胞 24 小时后,3148 个基因显著下调,KEGG 富集分析表明这些基因主要富集于 “TCA 循环”“谷氨酰胺代谢” 等代谢通路。蛋白质组和代谢组分析进一步验证,YC 处理导致 TCA 循环关键酶(如 SDHB、MDH1)表达下调,谷氨酰胺、谷氨酸及 TCA 中间产物(琥珀酸、α- 酮戊二酸)水平显著降低,表明谷氨酰胺代谢通路被系统性抑制。13C同位素示踪实验显示,YC 抑制 [U-13C5] 谷氨酰胺向 TCA 循环的碳流入,谷氨酸和琥珀酸的13C 标记率显著下降,证实 YC 阻断谷氨酰胺的代谢利用。实时定量 PCR 验证,YC 下调 TCA 循环关键基因(SUCLA2、SDHB、IDH1 等)的 mRNA 表达,与转录组和代谢组结果一致,表明转录水平调控参与代谢抑制。 5、YC通过抑制谷氨酰胺摄取诱导线粒体损伤和抑制线粒体功能 透射电镜观察到 YC(5 μM)处理 24 小时后,HN6 细胞线粒体出现嵴肿胀、基质空间扩大及 cristae 破坏等结构异常;氧消耗率(OCR)检测显示,YC 显著抑制线粒体基础呼吸和最大呼吸速率,并降低 ATP 生成量;JC-1 染色表明 YC 导致线粒体膜电位(MMP)崩溃,NAD+/NADH 比值升高;而敲低 ASCT2 可显著逆转 YC 对线粒体功能的抑制作用,证实 YC 通过降解 ASCT2 引发线粒体功能障碍,影响细胞能量代谢,进而抑制肿瘤细胞生长。 6、YC通过靶向ASCT2在体内表现出显著的治疗效果
在 HNSCC 异种移植模型中,YC(0.3 mg/kg)每日尾静脉注射 17 天后,肿瘤体积和重量较对照组显著减小,且未引起小鼠体重明显变化,表明其安全性较好;免疫组化染色显示,YC 处理组肿瘤组织中 ASCT2 表达降低,Ki67 阳性细胞减少,TUNEL 阳性细胞增多,提示 YC 抑制肿瘤细胞增殖并促进凋亡;Western blot 进一步验证肿瘤组织中 ASCT2 蛋白水平下降;在 ASCT2 敲低的荷瘤小鼠中,YC 的抑瘤效果明显减弱,肿瘤体积和重量较对照组无显著差异,证实 YC 在体内通过靶向 ASCT2 发挥抗肿瘤作用,为 YC 的临床转化提供了体内实验依据。
• ✦ ✦ • 本研究系统揭示了ASCT2在头颈部鳞状细胞癌中促进肿瘤发生和进展的关键作用,并鉴定出天然小分子化合物芫花酯甲作为靶向ASCT2的有效抑制剂。YC是一种高效的 ASCT2 靶向降解剂,通过与 ASCT2 的 Gly228 和 Pro432 位点结合,招募 E3 泛素连接酶 RNF5,促进 ASCT2 的泛素化及蛋白酶体依赖性降解,从而抑制谷氨酰胺摄取,阻断其向 TCA 循环的碳流入,引发线粒体功能障碍,导致 ATP 生成减少和 NAD+/NADH 比值升高,最终在体内外显著抑制头颈鳞癌(HNSCC)细胞的生长、增殖并诱导凋亡,且在异种移植和原位肿瘤模型中证实其抑瘤效果依赖于 ASCT2,为 HNSCC 的代谢靶向治疗提供了新的候选化合物和作用机制。
联系人:吴经理
手机:18217791420
邮件:info@tgenebiotech.com
地址:上海市闵行区新骏环路188号19栋2层;上海市闵行区剑川路951号5幢1层